Результатов: 130

Смерть пацієнтки після косметологічної операції у Чернігові: що відомо про клініку та коментар хірурга

Трагедія в Чернігові: смерть пацієнтки після естетичної процедури — коментар хірурга та інформація про клініку 0462.ua »

2026-3-2 16:58

Залишив у тілі пацієнтки серветку: у Дніпрі судитимуть хірурга-онколога

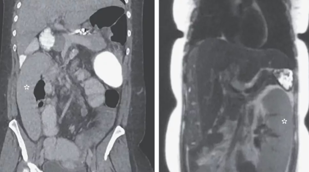
У квітні 2023 року під час ультразвукового дослідження в зоні проведеної операції у пацієнтки виявили сторонній предмет - хірургічну серветку. 5692.com.ua »

2026-2-2 18:00

Залишив хірургічну серветку у тілі пацієнтки: на Дніпропетровщині судитимуть хірурга-онколога

За даними слідства, у січні 2023 року в одному з медичних центрів області обвинувачений провів планову операцію з видалення пухлини. 0564.ua »

2026-2-15 11:42

"Сердце пациентки не выдержало": медики прокомментировали смерть Ирины Фарион (видео)

Как рассказала врач Наталья Матолинец, пациентка поступила в больницу с тяжелой проникающей огнестрельной травмой головного мозга. Ее состояние было критическим. focus.ua »

2024-7-20 00:21

В Волынской области хирурги удалили 20-килограммовую раковую опухоль: история пациентки (фото 18+)

Опухоль могла лопнуть в любой момент, спровоцировать сильное кровотечение, и женщина могла умереть. ru.tsn.ua »

2023-10-23 11:53

Врачи забыли в теле пациентки инструмент размером с обеденную тарелку - его нашли только через 1,5 года

В Новой Зеландии женщина страдала от сильных болей в животе почти полтора года после родов. dialog.ua »

2023-9-10 17:44

В России из-за умершей в больнице пациентки вызвали спасателей МЧС: что произошло

Из-за поломки лифта в медицинском учреждении персоналу больницы не удалось самостоятельно вынести умершую пациентку, весившую 160 килограммов. ru.tsn.ua »

2023-6-24 17:41

Врачи удалили у женщины гигантскую опухоль: ее вес больше, чем у пациентки

24-летняя женщина не хотела идти в больницу, однако впоследствии уже не могла нормально жить из-за опухоли, которая весила больше, чем она. comments.ua »

2023-5-2 18:15

Лікарів судитимуть за смерть пацієнтки після операції

КИЇВ. 19 квітня. УНН. Двох медиків судитимуть за неналежне виконання професійних обов'язків після того, як пацієнтка померла після операції, пише УНН з посиланням на повідомлення Нацполіції.

unn.com.ua »

2023-4-19 11:38

Частное медучреждение, где проходили реабилитацию: подробности жуткого убийства пациентки в Винницкой области

В полиции рассказали ужасные подробности убийства работником больницы пациентки в Винницкой области. ru.tsn.ua »

2023-4-17 15:49

Не заметила отклонений: в Киеве в результате действий врача частной клиники серьезно пострадала беременная

Врач поставила неправильный диагноз и, имея результаты исследований, не провела срочную госпитализацию, чем нанесла тяжелые последствия для пациентки. ru.tsn.ua »

2023-2-12 15:55

Искали кислород: в Николаеве разъяренные родственники пациентки выломали дверь в больницу

Медикам они поставили условие – предоставить им кислород. comments.ua »

2021-11-6 23:15

"Мест не хватает...": дочь пациентки ужаснулась увиденным в ковид-госпитале Мелитополя

С 7 октября в городе существенно усилили карантинные ограничения из-за ухудшения ситуации с распространением коронавируса. unian.net »

2021-10-7 16:01

Пожар в больнице Белой Церкви унес жизнь одной пациентки, открыто дело

Киевская областная прокуратура сообщает о гибели пациентки городской больницы города Белая Церковь Киевской области, где в понедельник случился пожар. interfax.com.ua »

2021-10-5 19:59

В Киеве коронавирус унес жизнь самой юной пациентки с начала эпидемии

В Киевской детской инфекционной больнице от коронавируса умерла девочка, которой исполнился 21 день. Ребенок умер 2 сентября. Это самый юный умерший от коронавируса в Украине пациент, рассказала главный... glavred.info »

2021-9-8 19:06

В организме одной пациентки обнаружили сразу 40 мутаций коронавируса: детали

Российские ученые обнаружили 40 мутаций коронавируса в организме пациентки с лимфомой. Женщина болела в течение 318 дней, а потому мутации помогали обходить иммунную реакцию организма. Полный текст новости 24tv.ua »

2021-7-30 12:50

Полиция расследует смерть пациентки на массажном столе

Массажистке инкриминируют смерть по неосторожности. Пострадавшую доставили в неврологическое отделение больницы, но спасти не смогли. from-ua.com »

2021-7-26 14:20

В суд передали дело врачей запорожской горбольницы №3, вымогавших взятку с пациентки

Завершено досудебное расследования дела о вымогательстве взяток с пациентов городской больницы Запорожье. На скамье подсудимых оказались двое врачей. 061.ua »

2021-8-4 17:09

Махинации с закупками препаратов в Каменском привели к смерти пациентки, – СМИ

Власти города Каменское Днепропетровской области создали сеть коммунальных аптек, на которой зарабатывает мэр Андрей Белоусов и его окружение. Поставки некачественных препаратов фирмами из окружения мэра привели к смерти пациентки, пишут "Аргументы и факты". "Основными бенефициарами аферы с городск ukranews.com »

2021-7-20 12:37

В Пакистане охранник выдал себя за врача и оперировал пациентку

Женщина умерла через несколько дней после того, как самозванец сделал ей операцию. Оказалось, что тот не первый раз выдает себя за врача. k.img.com.ua »

2021-6-8 20:19

Провела в больнице 45 дней. История спасения беременной пациентки с COVID-19

В больнице Мечникова спасали жизнь беременной женщины с коронавирусом и ее малыша – женщина смогла взять ребенка на руки только спустя два месяца segodnya.ua »

2021-6-3 21:59

В Киеве разгорается скандал вокруг смерти пациентки с коронавирусом: женщину якобы отказывались переводить в реанимацию

В киевской горбольнице разгорается скандал со смертью пациентки Светланы, которой якобы не нашлось места в реанимации telegraf.com.ua »

2021-4-19 16:28

В Киеве из-за смерти пациентки будут судить трех врачей Национального института рака

Киевской городской прокуратурой направлены в Голосеевский райсуд материалы в отношении врачей Национального института рака. Трое специалистов обвиняются в ненадлежащем исполнении профессиональных обязанностей и подделке медицинской документации. kievvlast.com.ua »

2021-3-31 16:24

В Киеве будут судить трех врачей Национального института рака из-за смерти пациентки

Врачей обвиняют по фактам ненадлежащего исполнения профессиональных обязанностей и подделке медицинской документации. ru.tsn.ua »

2021-4-1 14:21

В Австрии приостановили использование партии вакцины AstraZenecа из-за смерти пациентки

Австрии принял решение приостановить прививки от коронавируса одной партией вакцины AstraZeneca из-за смерти пациентки. Об этом сообщает News Break. news.yandex.ua »

2021-3-7 18:32

Санитарка украла телефон у пациентки, которая умирала от коронавируса

В Луцкой городской больнице у женщины, которая умирала от коронавируса, украли телефон. Дочь пациентки сразу же обратилась к врачам и работникам отделения, однако те заверили, что никто из отделения не мог совершить кражу, пишут "Волынские Новости". gazeta.ua »

2021-3-2 13:21

Пожар в больнице в Запорожье: в COVID-отделении погибли три пациентки и врач, открыто производство

КИЕВ. 4 февраля. УНН. По факту пожара в реанимации Запорожской областной инфекционной больнице, которая унесла жизни трех пациенток под аппаратами ИВЛ в COVID-отделении и врача, начато расследование. unn.com.ua »

2021-2-4 09:18

Пожар в доме престарелых: родственники пациентки рассказали интересные подробности

Месяц пребывания в приюте для пожилых "Золотой век" в Харькове, где погибли 15 человек, стоил 8 тыс. грн. За пациентами ухаживали санитарки. Стариков было немного, поэтому всем хватало внимания. gazeta.ua »

2021-1-21 21:04

Две недели лечили по телефону: врач поделился историей о смерти пациентки

Дистанционное лечение скоро всех нас сведет в могилу. Точнее не так. Не всех. А действительно тяжелых и тех, кто нуждается в помощи. telegraf.com.ua »

2020-11-19 20:11

Во Львовской области хирург за смерть пациентки получил условный срок

КИЕВ. 14 ноября. УНН. Во Львовской области заведующего хирургии осудили за ненадлежащее исполнение своих обязанностей, из-за чего погибла пенсионерка, к условному сроку наказания. Об этом сообщает пресс-служба Львовской областной прокуратуры, передает УНН. unn.com.ua »

2020-11-14 09:39

Пациентка умерла после уколов: врачей Института рака подозревают в халатности

Правоохранители сообщили о подозрении 3 врачам Национального института рака МОЗ Украины из-за смерти пациентки. Об этом информирует пресс-служба Офиса генерального прокурора. "По данным следствия, анестезиолог, не проведя предоперационную подготовку пациентки, ввел в ее организм препараты, несовместимые при одновременном введении. gazeta.ua »

2020-11-13 10:47